1010 W Exchange Pkwy #1160, Allen, TX 75013
Dental Emergency? Call Us Now!
100% Secure | Protected by strict privacy policy
Dental Emergency? Call Us Now!
Welcome to Gum Specialty Center
Your trusted family dentist in Allen. We provide complete dental care for all ages – from routine checkups and cleanings to orthodontics, cosmetic, and restorative treatments. Our experienced team offers gentle, personalized care using the latest technology in a warm, modern clinic conveniently located in Allen, IN. New patients always welcome! Call (833) 414-1064 to book your visit today.
Complete dental care for children, adults, and seniors – keeping your entire family’s smiles healthy and comfortable.
Effective, minimally invasive treatments to protect your gums and oral health.
Enhance your smile’s appearance with whitening, veneers, and cosmetic treatments tailored to boost confidence.
Fast relief for tooth pain, broken teeth, or dental injuries when you need urgent care the most.
Permanent tooth replacement that looks, feels, and functions like a natural tooth – restoring your smile and bite.
Safe, expert surgical solutions for extractions, wisdom teeth, and complex dental issues with minimal discomfort.
Dental Emergency? Call Us Now!
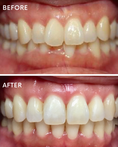
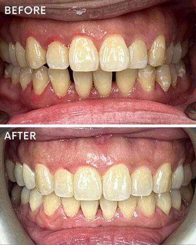
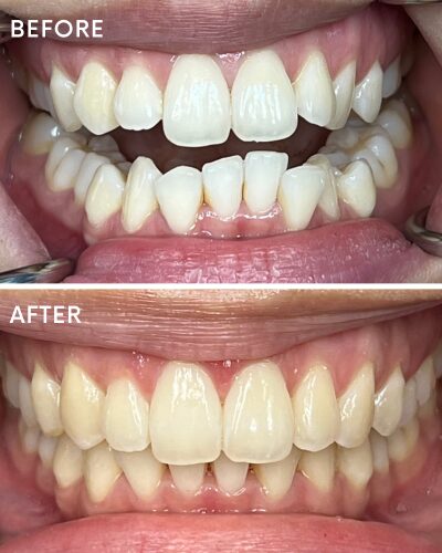
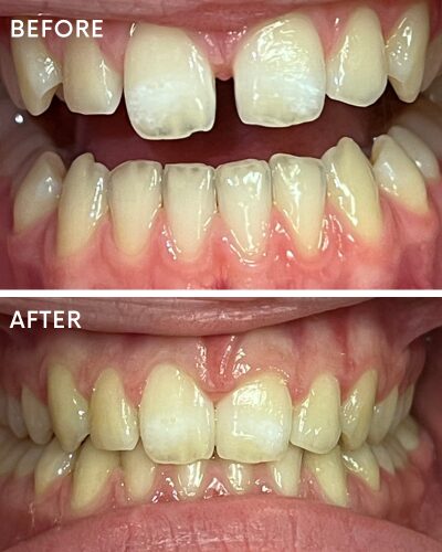
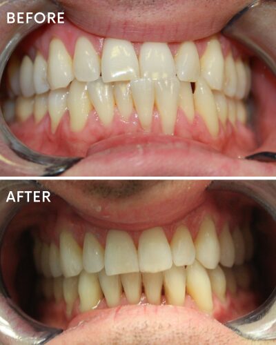
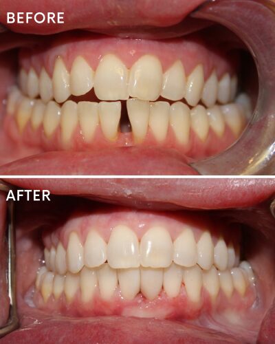
Here are a few of our patients’ before and after photos. Actual results may vary.




















Meet Your Dentist
Dental Emergency? Call Us Now!
Everything you need to know before booking your appointment
Yes, we are always happy to welcome new patients. You can book your appointment online or call our clinic directly.
We accept most major insurance providers. Please contact our office to confirm your specific coverage details.
Yes, we provide same-day emergency appointments whenever possible to relieve pain and address urgent dental issues.
We recommend visiting every 6 months for routine checkups and professional cleanings to maintain optimal oral health.
You can book an appointment through our online booking form or call us directly during business hours.
(833) 414-1064
1010 W Exchange Pkwy #1160, Allen, TX 75013
Mon–Fri: 9am - 5Pm
Sat: Closed
Sun: Closed
© 2026 Gum Specialty Center. ALL RIGHTS RESERVED | PRIVACY POLICY